DAMAR DAMAR ÜSTÜNE BİNMESİ (MAY TURNER SENDROMU)
Normal olarak karın içerisinde, sağ bacağa temiz kan taşıyan atardamar, sol bacağın kirli kanını taşıyan toplardamar üzerine biner.
Bu duruma bağlı olarak herkeste atardamar toplardamarı çok hafiften ciddiye kadar değişen miktarlarda sıkıştırır. Buna bağlı sol bacak daha fazla şişer, toplardamar tıkanıklığı ve varisler sol bacakta daha fazla gelişir.
Bu atardamar binmesi toplardamarı çok ciddi daraltırsa bu durum hastalık olarak kabul edilir. Bu tablo özellikle destek dokusu zayıf olan uzun boylu genç bayanlarda sık görülür. Ayrıca bel bölgesindeki omurların öne doğru bükülmüş olan kimselerde de daha sık olarak gözükmektedir.
Sıklıkla yirmili yaşlarda semptomlar başlar. Bu hastalar sıklıkla sol bacakta ağrı şişlik, kalça ve sırt ağrısı ile gelirler. Birlikte kasık bölgesinde veya uyluk iç tarafında varisler görülür. Sol bacak sıklıkla sıcak, kırmızı veya kızarık renkte görülür. Bacakta dokunmakla hassasiyet bulunmaktadır. En korkulan komplikasyonu ise sol tarafta derin toplardamar tıkanıklığıdır.
Genç yaşta sol tarafta derin toplardamar tıkanıklığı geliştiği taktirde mutlaka bu hastalık varlığı araştırılmalıdır.

Circulation. 2014;129:824–825
Genellikle doppler ultrasonda herhangi bir bulgu saptanmaz. Eğer şikayetin olduğu fakat doppler ultrasonun normal olduğu hastalarda ileri tetkik yapılarak bu hastalığın varlığı araştırılmalıdır.
Hastalığın tanısında başlangıçta karın sol alt bölgesinde ultrason ile atardamarın toplardamara basısı araştırılır. Eğer bası bulgusu saptanır ise tomografi ile o bölge detaylı olarak değerlendirilir.


Resim. Tomografide, sol taraf toplardamarına sağ taraf atar damarı bası uygulamış
Tedavi
- Hafif semptomlu veya semptomsuz olgularda varis çorabı ve ilaç tedavisi yeterli olabilmektedir.
- Bacakta ödem, ayak bileğinde renkte koyulaşma veya ülser gelişen olgularda stent endikasyonu bulunmaktadır.
- Tromboz gelişen hastalarda ise öncelikle tromboza yönelik girişimi takiben bası bölgesine stent yerleştirilir.


Resim. Venöz stent
Bu tedaviler ile üstteki atardamarın alttaki toplardamarı şıkıştırması önlemek ve bası bulgularını ortadan kaldırılmak amaçlanmaktadır.
Sonuç olarak, normal olarak sağ bacağın ana atardamarı sol bacağın ana toplardamarının üzerinden geçer. Yüksek basınçlı atardamar düşük basınçlı toplardamarı sıkıştırarak akımı bozar. Buna bağlı olarak da sol bacakta ağrı, şişlik, varis ve toplardamar tıkanıklığı sağ bacaktan daha fazla gelişmektedir.
NUTCRACKER SENDROMU

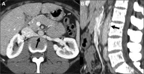
Nutcracker sendromu (NKS), sol böbrek toplardamarı olan sol renal venin aorta ve bağırsakları besleyen süperior mezenterik arter arasında sıkışmasına veya aort damarının altından geçerek sıkışmasına bağlı gelişir.
Nutcracker sendromu, ilk olarak 1950’de El-Sadr ve Mina tarafından bildirilmiştir, hastalığın gerçek tanımlaması ise ilk kez 1972’de de Schepper tarafından yapılmıştır. Genel olarak NKS’u semptomlu ve semptomsuz olmak üzere iki temel klinik gruba ayrılırlar.
Genel olarak NKS’lu hastalarda radyolojik incelemelerde bası öncesinde renal vende dilatasyon (genişleme) izlenir.
Bu hastalık zayıf kadınlarda daha sık görülmektedir.
Hastalarda; yan ağrısı, adet dönemlerinde karın ağrısı, ağrılı cinsel ilişki şikayetleri bulunmaktadır. Bu ağrının en önemli sebebi yumurtalık toplardamarı böbrek toplardamarına boşalır. Bu hastalarda bu sağlanamadığı için yumurtalıklar etrafında varisler gelişir. Bu varisler özellikle adet dönemlerinde şiddetli ağrıya neden olurlar.
Ayrıca, yumurtalıkların etrafında başlayarak, cinsel organlara, kasık ve kalça bölgesinden aşağı ilerleyen atipik varisler görülür. Bu gibi durumlarda bu senromun varlığı araştırılmalıdır.
Erkeklerde ise varikosel görülmektedir.

Resim 1,2. Sol böbrek toplardamarı bağırsak atardamarı ve aort'un altında sıkışması
Bu hastalarda idrarda hematürü (idrarda kan görülmesi) ve proteinürü (idrarda protein görülmesi) bulunmaktadır. Hematürü’nün nedeni ise sol böbrek toplardamar basıncındaki yükselmeye bağlı olarak, sol böbrek idrar toplayıcı kanalları etrafındaki ince duvarlı toplardamarların yırtılması ve idrara kanın karışmasıdır. Proteinürünün de benzer mekanizma ile geliştiği düşünülmektedir. Hematürü nedeniyle araştırma yapılan 52 çocuğun 1/3'ünde renal vende bası bulguları saptanmıştır.
Nutcracher sendromu tanısı
Bu sendromun tanısı, Doppler ultrason, tomografi ve manyetik rözenans (MR) ve anjiografi ile sol renal vendeki şıkıştırılmanın gösterilmesi ile konulur.

Resim. Tomografide basının gösterilmesi
Tanıyı desteklemek amacıyla 24 saatlik idrar tetkikinde protein ve eritrosit araştırılır.
Nutcracher sendromunda cerrahi veya girişimsel tedavi endikasyonları
- Yaşam kalitesinde düşmeye yol açan şikayetleri bulunması
- Anemiye (kansızlık) neden olacak düzeyde hematürü gelişmesi
Nutcracher sendromunda tedavi
Öncelikle zayıf hastaların kilo almaları ve bol su içmeleri önerilir.
Şikayeti çok fazla ve ciddi hematürüsü olan hastalarda cerrahi tedavi veya renal vene stent implante edilebilir. Ancak son yıllarda endovasküler stent ilk tercih edilen tedavi seçeneği olmuştur.

Resim. Bası altındaki Sol renal vene stent emplantasyonu
Cerrahi tedavide ise, gonoda-kaval bypass, sol renal ven transpozisyonu veya sol böbreğin ototransplantasyonu uygulanmaktadır.